Periodontitis Tedavisi

Periodontitis, diş etlerini ve dişleri çevreleyen kemik dokusunu etkileyen ciddi diş eti hastalığıdır.

Periodontitis, diş etlerini ve dişleri çevreleyen kemik dokusunu etkileyen ciddi diş eti hastalığıdır. Başlangıçta hafif kanamalar veya hassasiyet ile kendini gösterse de, tedavi edilmediğinde diş kayıplarına yol açabilir. Hastalık, ağız sağlığının korunması açısından erken teşhis ve müdahale gerektirir. Periodontitis tedavisi ile diş etlerinin iltihabı kontrol altına alınabilir, kemik dokusunun tahribatı yavaşlatılabilir ve diş kaybı riski en aza indirilebilir. Uzman periodontistlerimiz, hastalığın türüne ve şiddetine göre kişiselleştirilmiş tedavi planları uygular. Diş etlerinizin sağlığını korumak ve uzun vadeli ağız sağlığı için deneyimli ekibimizden hemen randevu alabilirsiniz.

Periodontitis Nedir?

Periodontitis, diş eti iltihabının ilerlemiş formu olarak tanımlanır. Diş etleri ve dişleri destekleyen kemik dokusunun zarar görmesine yol açar. Başlangıçta diş eti kanamaları, şişlik ve hassasiyetle kendini gösterirken, ilerleyen dönemlerde diş kayıpları ve periodontal apseler oluşabilir. Erken teşhis, dişlerin korunması ve tedavinin başarısı açısından kritik öneme sahiptir.

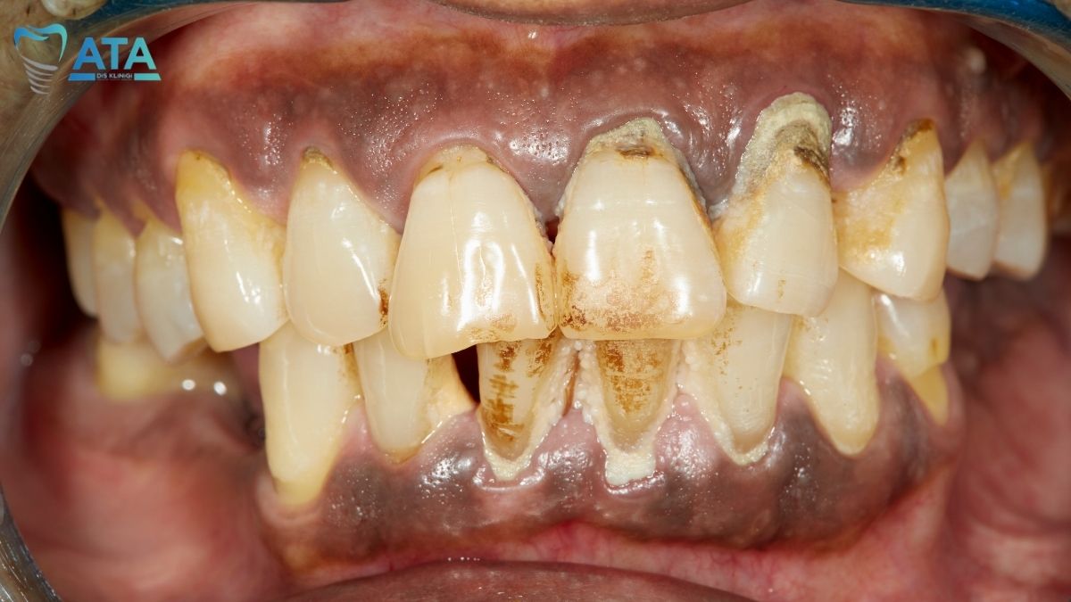
Periodontitis Belirtileri Nelerdir?

Periodontitis sessiz ilerleyen bir hastalıktır, ancak bazı belirtiler dikkat çekicidir:

  • Diş etlerinde sürekli veya ara ara kanama
  • Kırmızı, şiş ve hassas diş etleri
  • Dişler arasında boşluk oluşumu veya dişlerin yer değiştirmesi
  • Ağız kokusu ve kötü tat hissi
  • Periodontal apse veya diş etlerinde iltihap
  • Diş etlerinde çekilme ve dişlerin uzun görünmesi

Belirtilerden herhangi biri gözlemlendiğinde, bir uzman periodontist ile görüşmek erken müdahale açısından büyük önem taşır.

Periodontitis Türleri Nelerdir?

Periodontitis farklı türlerde kendini gösterebilir ve her tür, farklı bir tedavi yaklaşımı gerektirir:

  • Kronik Periodontitis: 

Yetişkinlerde en sık görülen formdur. Diş etleri ve kemik dokusu yavaş yavaş tahrip olur. Kronik periodontitis nedir sorusu, özellikle yetişkin hastaların sıkça merak ettiği bir konudur. Tedavisi düzenli diş temizliği ve gerektiğinde cerrahi müdahaleyi içerir.

  • Agresif Periodontitis: 

Genel olarak genç bireylerde ortaya çıkar ve hızla ilerler. Agresif periodontitisde dişler hızla çekilir ve çene kemiği kaybı riski oluşturu. Diş kaybı riski yüksektir ve erken müdahale ile kontrol altına alınması gerekir.

periodontitis nedir
  • Nekrotizan Ülseratif Periodontitis (NUP): 

Ağır ve hızlı ilerleyen bir formdur. Bağışıklık sistemi zayıf olan bireylerde görülür ve ciddi iltihap, ülser ve doku kaybına yol açabilir.

Her tür, farklı evrelerde seyreder ve tedavi planı hastalığın türüne göre belirlenir.

Periodontitis Evreleri

Periodontitis evreleri, hastalığın şiddetini ve tedavi yaklaşımını belirlemede önemlidir:

  • Evre 1 – Hafif Periodontitis: Diş etlerinde hafif iltihap ve kanama gözlenir, kemik kaybı minimum seviyededir. Bu evrede tedavi, çoğunlukla profesyonel temizlik ve iyi ağız hijyeni ile sağlanır.
  • Evre 2 – Orta Düzey Periodontitis: Diş eti çekilmeleri ve kemik kaybı başlar, dişler arasında boşluklar oluşabilir. Tedavi, profesyonel temizlik ve bazı durumlarda cerrahi müdahaleyi içerir.
  • Evre 3 – İleri Periodontitis: Kemik kaybı belirginleşir, dişler sallanabilir. Cerrahi müdahale ve kemik greftleri gerekebilir.
  • Evre 4 – Çok İleri Periodontitis: Dişlerin destek dokusu ciddi şekilde zarar görmüştür, diş kaybı riski yüksektir. Tedavi genellikle kompleks cerrahi prosedürler ve yoğun bakım gerektirir.

Evreleme, tedavi sürecinin doğru şekilde planlanması için kritik öneme sahiptir.

Periodontitis Teşhisi Nasıl Konur?

Periodontitis teşhisi, detaylı klinik muayene ve radyolojik incelemeler ile yapılır. Diş etlerindeki derinlik ölçümleri, dişlerin hareketliliği ve kemik kaybının tespiti teşhisin temel adımlarını oluşturur. Hastanın tıbbi geçmişi, ağız hijyeni alışkanlıkları ve risk faktörleri de değerlendirilir. Uzman periodontistlerin görev aldığı kliniğimizde, teşhis süreci titizlikle yürütülür ve her hastaya özel tedavi planları oluşturulur. Bu sayede erken müdahale sağlanır ve hastalık kontrol altına alınır.

Periodontitis Tedavisi Nasıl Yapılır?

Periodontitis tedavisi, hastalığın türüne ve evresine göre kişiye özel planlanır:

  • Profesyonel Diş Temizliği ve Ölçekleme

Diş taşları ve plaklar temizlenir, iltihap azaltılır ve diş etleri korunur.

  • Antibiyotik Tedavisi: 

Lokal veya sistemik antibiyotik kullanımı ile enfeksiyon kontrol altına alınır.

  • Cerrahi Müdahale: 

İleri evrelerde diş eti cerrahisi, kemik greftleri ve gerekirse doku yenileme prosedürleri uygulanır.

  • Düzenli Kontrol ve Bakım: 

Tedavi sonrası düzenli diş kontrolleri ve doğru ağız hijyeni, hastalığın nüks etmesini önler.

Detaylı bilgi için İstanbul periodontoloji sayfamızı ziyaret edebilirsiniz.

İstanbul Periodontitis Tedavisi Fiyatları

Periodontitis tedavi ücretleri, hastalığın türüne, evresine ve uygulanacak tedavi yöntemine göre değişir. Kronik periodontitis tedavisi, cerrahi gerektirmeyen vakalarda daha uygun fiyatlıdır. Agresif periodontitis ve Nekrotizan Ülseratif Periodontitis (NUP) gibi ağır vakalarda tedavi süresi ve maliyet artabilir. Deneyimli kliniklerde periodontal tedavi ücreti, detaylı muayene sonrasında netleşir ve kişiye özel ödeme planları sunulur. Tedavi ücretleri hakkında bilgi almak için kliniğimizle iletişime geçebilirsiniz.

Periodontitis Tedavisi için Hemen Randevu Alın

2001 yılından bu yana İstanbul’da hizmet veren kliniğimiz, deneyimli uzman periodontistleri ile güvenilir ve etkili tedavi hizmeti sunar. Uzman ekibimiz, her hastayı detaylı şekilde değerlendirir, kişiselleştirilmiş tedavi planları uygular ve periodontitis tedavi sürecinde maksimum konfor sağlar. Hasta memnuniyeti ve güven bizim önceliğimizdir. Sağlıklı gülüşünüz ve dişlerinizin uzun ömürlü olması için hemen randevu alın ve uzmanlarımızla tanışın. Tecrübeli ekibimizle, periodontitis tedavisi sürecinde yanınızdayız.

    Randevu Al

    İletişim

    Şimdi Ara

    444 73 96

    E-Posta

    info@atadisklinigi.com.tr

    Randevu Al

      Randevu Al

      İletişim

      Şimdi Ara

      444 73 96

      E-Posta

      info@atadisklinigi.com.tr

      Randevu Al